
Foreign object stuck in the bronchus of girl removed
A team of doctors of the Kanchi Kamakoti CHILDS Trust Hospital (KKCTH) removed a foreign object from the airway of a 13-year-old girl.
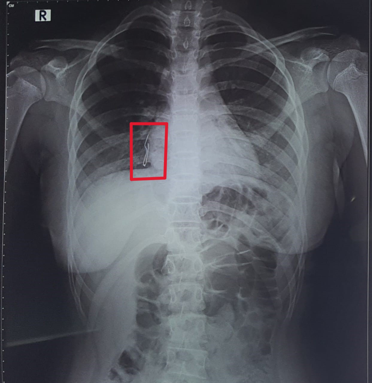
According to a release, the girl presented to the emergency room with a foreign object (LED light) stuck in the bronchus. She was initially taken to a private hospital, where doctors tried to remove the object, but could not retrieve it. At the KKCTH, an X-ray showed that the object was stuck in the right terminal bronchus.
Janani Sankar, medical director, KKCTH, said the girl had accidentally swallowed a small LED bulb while working for a school project. While she removed the glass pieces from her mouth, the tungsten wire got stuck in the lung, she added.
S. Thirunavukkarasu, head of department, Centre of Excellence in Paediatric Airway Surgery, KKCTH, with the support of anaesthetists headed by Ramesh, performed a bronchoscopy and removed the object using a telescopic bronchoscope.
Dr. Thirunavukkarasu raised the need to create awareness on the dangers of foreign materials such as metals and button batteries among parents. Careful monitoring of children playing with objects and preventing aspiration is important. In case of suspected foreign object aspiration, immediate medical help should be sought, the release added.

